Hallo,
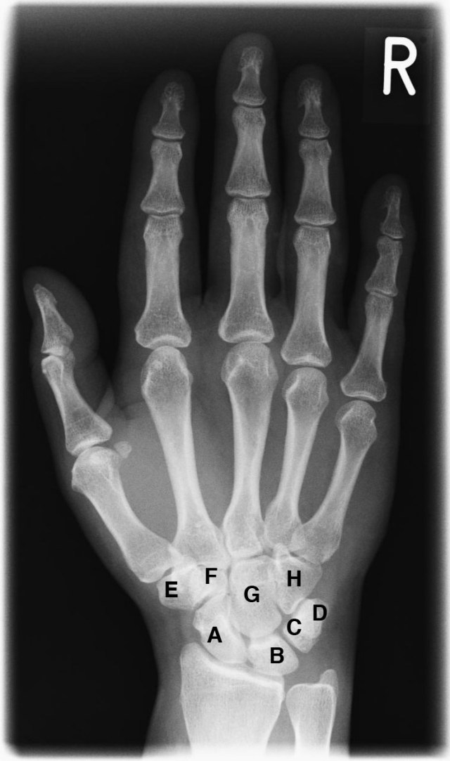
como tengo ahora algunos médicos entre mis alumnos tratamos temas diferentes y muy interesantes. Hoy me acordé de una regla mnemotécnica que aprendí hace unos 40 años para memorizar los nombres de unos huesos de la mano (Handwurzelknochen, carpo en español).

«Ein Schiffchen fährt im Mondenschein dreieckig um das Erbsenbein. Vieleckig groß, vieleckig klein, der Kopf muss bei dem Haken sein.»
A Kahnbein, B Mondbein, C Dreieckbein, D Erbsenbein, E großes Vieleckbein, F kleines Vieleckbein, G Kopfbein, H Hakenbein
La foto es de Wikipedia y ahí también se puede encontrar esa regla ligeramente modificada.
Viel Spaß beim Fahren im Mondenschein und haltet die Ohren steif
Thomas